Skip to main content

About

The Cornell Phonetics Lab is a group of students and faculty who are curious about speech. We study patterns in speech — in both movement and sound. We do a variety research — experiments, fieldwork, and corpus studies. We test theories and build models of the mechanisms that create patterns. Learn more about our Research. See below for information on our events and our facilities.

/

Upcoming Events


  • 8th October 2025 12:20 PM

    Phonetics Lab Meeting

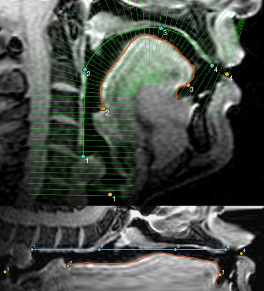
    We will discuss this paper by Mark Tiede et. al:  Production Allophones of North American English Liquids, where tongue data was collected by both MRI and Ultrasonic imaging.

     

    Abstract:

     

    The syllabic liquids [ɚ]  (as  in  “purr”) and [əɫ] (as  in “pull”) have  well-defined  acoustic  targets  but  are  produced  with  a wide  range  of  heterogenous  tongue  postures.  

     

    This  work surveys  midsagittal  tongue  shapes  from  a  large  (N=78) number of speakers producing these sounds, to illustrate their variety, and to determine  systematically how this variety can be quantified.

     

     In particular we propose that a  categorization based  on  just  two  parameters––degree  of  tongue  dorsum convexity  and  tip  orientation––is  sufficient  to  classify observed shapes, and superior to defining ad hoc prototypes. 

     

     

    Location: B11 Morrill Hall, 159 Central Avenue, Morrill Hall, Ithaca, NY 14853-4701, USA
  • 9th October 2025 08:00 AM

    Dr. Mark Tiede to conduct a hands-on Ultrasonic Imaging workshop

    Dr. Mark Tiede (Yale School of Medicine) will visit the Phonetics Lab to conduct a hands-on two-day Ultrasonic Imaging workshop.

     

    AGENDA

     

    Thursday in Ultrasound Lab:

     

    *10:00AM - Review of basic scan parameters (depth of field, sector angle, focus, frequency, etc.); useful to see how these interact with frame rate and image quality and the constraints imposed by hyoid and mandibular shadowing

     

    *11:00AM - Tracking probe and head position: motivation (for subsequent alignment of images or contours to palatal structure), methods (EMA, OptiTrack, video), post-processing approaches

     

    *1:45PM - First Ultrasound Pilot Experiment

     

    *2:45PM - Second Ultrasound Pilot Experiment

     

    Friday in B11:

     

    *11:10 AM - Probe stabilization: tradeoffs between too much and too little constraint on jaw displacement; practical concerns using Wei-rong’s ALPHUS (angle adjustment, minimizing contact with throat, etc)

     

    *1:00PM - Co-collection of US with intraoral EMA: leveraging this to determine transvelar ‘virtual’ sensors, procedures for establishing a common coordinate system

     

    *2:00 - Transverse imaging of the larynx: of interest for observing the ab/adductory cycle in devoicing gestures

     

    *3:00 - Third Ultrasound Pilot Experiment

     

     

    Location: B11 Morrill Hall, 159 Central Avenue, Morrill Hall, Ithaca, NY 14853-4701, USA
  • 9th October 2025 04:30 PM

    Colloquium Talk Series - Dominique Branson

    The Cornell Linguistics Department is proud to present  Dr. Dominique Branson, Soros Justice Fellow with The Open Society Foundations, Adjunct Assistant Professor at Point Park University, and former Visiting Lecturer at The University of Illinois at Chicago (UIC). 

     

    Dr. Branson will give a talk titled:  "Why Language Matters for Justice: Using Linguistics to Transform the Legal System".

     

    Abstract:

     

    The murder of George Floyd in 2020, and the global protests that followed, reinvigorated conversations about systemic racism and reminded us that race continues to shape every facet of the U.S. legal system.

     

    While these conversations often focus on policing and sentencing, language itself also plays a central role in producing and perpetuating inequality. In this talk, Dominique Branson (Cornell ’14) reflects on her journey from undergraduate student in Cornell’s Linguistics Department to postdoctoral scholar working at the intersection of language and criminal legal reform.

     

    She earned her PhD in Linguistics from the University of Pittsburgh in 2023 and has since applied her training as an expert witness in criminal cases in both the U.S. and the U.K. Drawing from this experience, Branson shows that analyzing language used in routine legal procedures reveals how individual encounters map onto systemic racial inequities.

     

    She also demonstrates how Black Americans’ language practices are misinterpreted in courts in ways that align with prevailing stereotypes about criminality, further entrenching harmful associations between race and crime.

     

    Most recently, as a Soros Justice Fellow with the Open Society Foundations, she used linguistic methods to highlight the importance of equitable language practices in legal proceedings to promote more fair outcomes during the pretrial phase, where many racial disparities first emerge in the process.

     

    In sharing her experiences across multiple stages of her career, she highlights the value of both traditional qualitative approaches—such as discourse and conversation analysis—and computational methods for analyzing language in legal contexts.

     

    More broadly, she argues that applying linguistic theory and methodology not only advances the discipline’s scholarship but also enables linguists to enact meaningful social change.

     

    Speaker Bio:

     

    Soros Justice Fellowship. As a Soros Justice Fellow, I conduct research to document and destabilize anti-Black ideologies that legitimize pretrial dangerous predictions and harm Black communities. My aim is to abolish anti-Black pretrial practices that contribute to racial disparities in pretrial detainment and also reify the notion that Black Americans and their communities are “dangerous.” I accomplish this by considering how courtroom discourse practices reify anti-Black ideologies about Black “dangerousness.”

     

    Teaching. At Point Park, I teach two courses in the Literature, Culture, and Society department: Introduction to Linguistics and Language and Justice. At UIC, I taught two courses in the Criminology, Law, and Justice department: Courts in Society and Language and Justice. In these courses, I inspire students to think critically about what justice is, and to think creatively about how to pursue justice using language.

     

    Research. My research examines the relationship between Blackness, linguistic perception, language policy, and racial disparities in the criminal legal and education systems as well as in broader society. I merge disciplinary boundaries to interrogate and destabilize language ideologies and hegemonic listening practices that legitimize anti-Blackness in US institutions. For example, I have used (socio)linguistic knowledge to illuminate how linguistic practices in schools criminalize and adultify Black girls and to examine whether and to what extent listeners associate “Black-sounding” voices with criminality.

     

    Dissertation. I completed my dissertation called, Sounding Guilty: Criminality and Black Racialized Speech” in 2023 at the University of Pittsburgh (Linguistics Department). In it, I used methods across several social science, humanistic, and critical disciplines to illuminate a link between listeners’ ideas of what it means to “sound Black” and “sound like a criminal.”

     

     

     

     

    Location: 106 Morrill Hall, Cornell University, 159 Central Avenue, Morrill Hall, Ithaca, NY 14853-4701, USA
  • 13th October 2025 12:20 PM

    PhonDAWG - Phonetics Lab Data Analysis Working Group

    No PhonDAWG today due to Fall Break.

     

     

     

     

    Location: B11 Morrill Hall, 159 Central Avenue, Morrill Hall, Ithaca, NY 14853-4701, USA

Facilities

The Cornell Phonetics Laboratory (CPL) provides an integrated environment for the experimental study of speech and language, including its production, perception, and acquisition.

Located in Morrill Hall, the laboratory consists of six adjacent rooms and covers about 1,600 square feet. Its facilities include a variety of hardware and software for analyzing and editing speech, for running experiments, for synthesizing speech, and for developing and testing phonetic, phonological, and psycholinguistic models.

Web-Based Phonetics and Phonology Experiments with LabVanced

 

The Phonetics Lab licenses the LabVanced software for designing and conducting web-based experiments.

 

Labvanced has particular value for phonetics and phonology experiments because of its:

 

  • *Flexible audio/video recording capabilities and online eye-tracking.
  • *Presentation of any kind of stimuli, including audio and video
  • *Highly accurate response time measurement    
  • *Researchers can interactively build experiments with LabVanced's graphical task builder, without having to write any code.

 

Students and Faculty are currently using LabVanced to design web experiments involving eye-tracking, audio recording, and perception studies.  

 

Subjects are recruited via several online systems:

 

 

 

 

Computing Resources

 

The Phonetics Lab maintains two Linux servers that are located in the Rhodes Hall server farm:

 

  • Lingual -  This Ubuntu Linux web server hosts the Phonetics Lab Drupal websites, along with a number of event and faculty/grad student HTML/CSS websites.  

 

  • Uvular - This Ubuntu Linux dual-processor, 24-core, two GPU server is the computational workhorse for the Phonetics lab, and is primarily used for deep-learning projects.

 

In addition to the Phonetics Lab servers, students can request access to additional computing resources of the Computational Linguistics lab:

 

  • *Badjak - a Linux GPU-based compute server with eight NVIDIA GeForce RTX 2080Ti GPUs

 

  • *Compute server #2 - a Linux GPU-based compute server with eight NVIDIA  A5000 GPUs

 

  • *Oelek  - a Linux NFS storage server that supports Badjak. 

 

These servers, in turn, are nodes in the G2 Computing Cluster, which currently consists of 195 servers (82 CPU-only servers and 113 GPU servers) consisting of ~7400 CPU cores and 698 GPUs.

 

The G2 Cluster uses the SLURM Workload Manager for submitting batch jobs  that can run on any available server or GPU on any cluster node. 

 

 

 

 

Articulate Instruments - Micro Speech Research Ultrasound System

We use this Articulate Instruments Micro Speech Research Ultrasound System to investigate how fine-grained variation in speech articulation connects to phonological structure.

 

The ultrasound system is portable and non-invasive, making it ideal for collecting articulatory data in the field.

 

 

BIOPAC MP-160 System

The Sound Booth Laboratory has a BIOPAC MP-160 system for physiological data collection.   This system supports two BIOPAC Respiratory Effort Transducers and their associated interface modules.

Language Corpora

  • The Cornell Linguistics Department has more than 915 language corpora from the Linguistic Data Consortium (LDC), consisting of high-quality text, audio, and video corpora in more than 60 languages.    In addition, we receive three to four new language corpora per month under an LDC license maintained by the Cornell Library.

 

 

  • These and other corpora are available to Cornell students, staff, faculty, post-docs, and visiting scholars for research in the broad area of "natural language processing", which of course includes all ongoing Phonetics Lab research activities.   

 

  • This Confluence wiki page - only available to Cornell faculty & students -  outlines the corpora access procedures for faculty supervised research.

 

Speech Aerodynamics

Studies of the aerodynamics of speech production are conducted with our Glottal Enterprises oral and nasal airflow and pressure transducers.

Electroglottography

We use a Glottal Enterprises EG-2 electroglottograph for noninvasive measurement of vocal fold vibration.

Real-time vocal tract MRI

Our lab is part of the Cornell Speech Imaging Group (SIG), a cross-disciplinary team of researchers using real-time magnetic resonance imaging to study the dynamics of speech articulation.

Articulatory movement tracking

We use the Northern Digital Inc. Wave motion-capture system to study speech articulatory patterns and motor control.

Sound Booth

Our isolated sound recording booth serves a range of purposes--from basic recording to perceptual,  psycholinguistic, and ultrasonic experimentation. 

 

We also have the necessary software and audio interfaces to perform low latency real-time auditory feedback experiments via MATLAB and Audapter.